IMG_3700


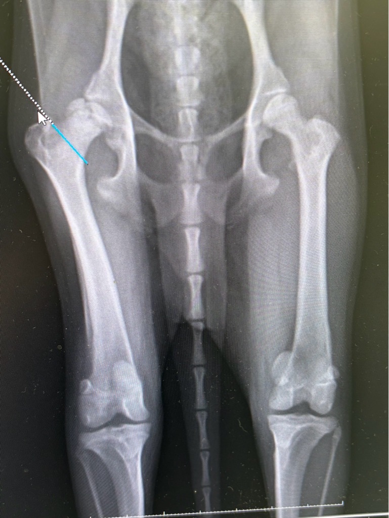
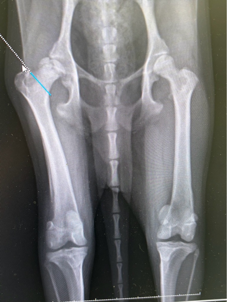
この子は レッグペルテスという病気です、

大腿骨の骨頭が壊死してしまうので 段々と歩くのも辛くなります。



IMG_3699


ライアンは レッグペルテスで骨頭部を
切る手術になりました、


IMG_3692

下の骨が 切除した骨頭部です。


IMG_3693

ライアンは リトルライオン🦁と言われていた子犬です。

小さな頃は 普通に走り回っていましたがレルヒェさんに行って
最近 急に痛そうに泣く事が有りました、

それでいつも足の手術をお願いしている先生がたに診て頂き、
今日手術をお願い致しました。


IMG_3695


IMG_3694
IMG_3688
IMG_3687

IMG_3692



IMG_3689
IMG_3690

そして2匹目の優里くんも

4時間もかかっていたそうです、

先生方のおかげで普通に歩ける様になると思います、
本当に医療によって生活も未来も運命も変わって行くのだと思います🩷👌🩷

この子達には神さま以上だと思います🍀✨✨✨
本当に有り難うございました、🙏💓🙏
また明日ご報告致しますね🙆‍♀️


ご支援のお願い

☆BLOGランキングに参加しています
☆一日一回2つのバナーをポチッと応援よろしくお願い致します(*^^*)


BLOG RANKING


にほんブログ村
にほんブログ村 犬ブログ 犬 里親募集へ


*活動を知っていただくために記事のシェアをお願い致します。ブログに記事を転載される場合は、本文をそのままご使用ください。写真だけの転載・転用はお断りしております